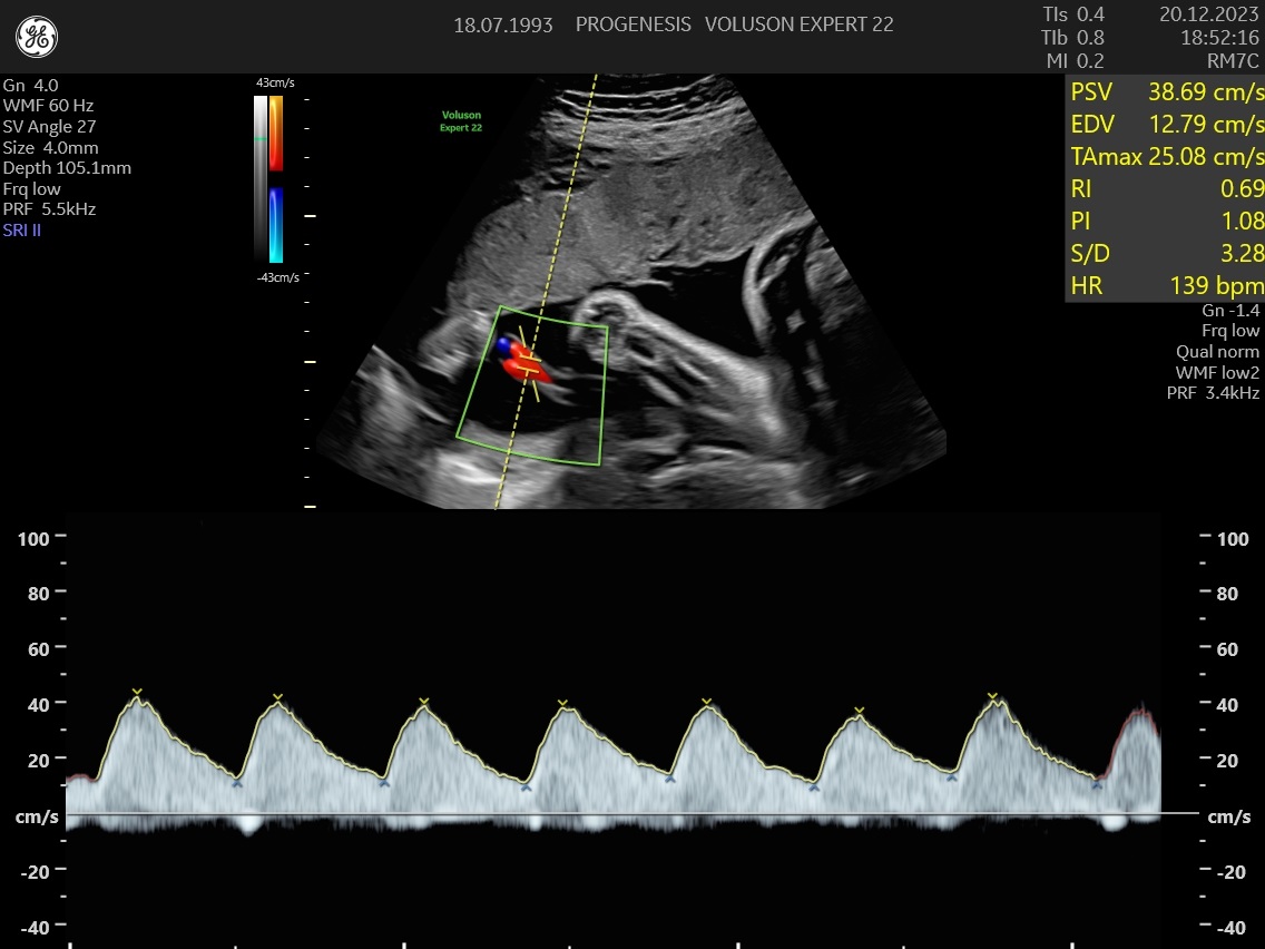
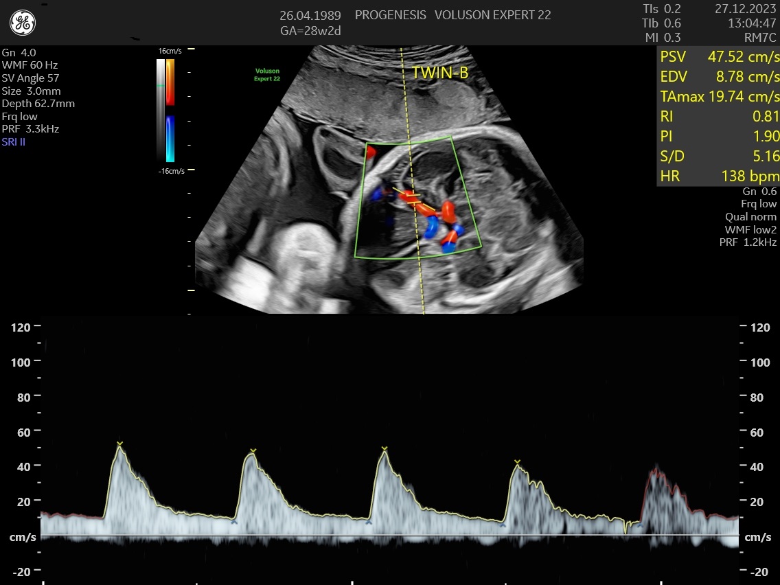
Υπερηχογράφημα Ανάπτυξης και Doppler (31-34 εβδομάδων)



Γίνεται συνήθως μεταξύ 31-34 εβδομάδων κύησης και σκοπό έχει τον έλεγχο της ομαλής ανάπτυξης και αιμάτωσης του εμβρύου.
Ωστόσο, σε γυναίκες με υπέρταση / προεκλαμψία, σακχαρώδη διαβήτη, με μικρά, λιποβαρή έμβρυα, αυξημένο ή ελαττωμένο αμνιακό υγρό, μπορεί να χρειαστεί να επαναλαμβάνεται ανά τακτά χρονικά διαστήματα.
Ελέγχεται η θέση και το βάρος του εμβρύου, η ποσότητα του αμνιακού υγρού, η ωριμότητα και η θέση του πλακούντα σε σχέση με τον τράχηλο.
Ελέγχεται επίσης η παροχή οξυγόνου από της αρτηρίες της μητέρας στη μήτρα (Doppler μητριαίων αγγείων), από τον ομφάλιο λώρο στο έμβρυο (Doppler ομφαλικής αρτηρίας) καθώς και η ροή στην κεντρική αρτηρία του εγκεφάλου.


