Υπερηχογράφημα Αυχενικής Διαφάνειας (11-14 εβδομάδων)













Το υπερηχογράφημα της αυχενικής διαφάνειας, πραγματοποιείται από τις 11 εβδομάδες +1 ημέρα έως 13 + 6 ημέρες κύησης και σε μήκος εμβρύου από 45mm έως 84mm.
Γίνεται συνήθως διακοιλιακά, ωστόσο σε αρκετές περιπτώσεις, για την ευκρινή απεικόνιση του εμβρύου, είναι αναγκαία και η διακολπική εξέταση.
Η εξέταση της αυχενικής διαφάνειας, ξεκίνησε με στόχο την ανίχνευση των εμβρύων με σύνδρομο Down, αλλά με την πάροδο των χρόνων, εξελίχθηκε στον πρώτο σημαντικό έλεγχο της ανατομίας του εμβρύου.
ΣΚΟΠΟΣ ΤΗΣ ΕΞΕΤΑΣΗΣ
Καθορισμός της ηλικίας κύησης
Σε γυναίκες που έχουν σταθερό κύκλο, επιβεβαιώνεται η ομαλή ανάπτυξη του εμβρύου, ενώ σε γυναίκες με ακανόνιστη έμμηνο ρήση, ή σε αυτές που δεν μπορούν να θυμηθούν την ημερομηνία της τελευταίας περιόδου, ή που έχουν συλλάβει αμέσως μετά τη διακοπή αντισυλληπτικών ή κατά τη διάρκεια θηλασμού, μετράμε το μήκος του εμβρύου για να υπολογίσουμε την ηλικία κύησης, καθώς και την πιθανή ημερομηνία τοκετού.
Αξιολόγηση του κινδύνου για το σύνδρομο Down και άλλων χρωμοσωμιακών ανωμαλιών.
Ο κίνδυνος μιας χρωμοσωμιακής ανωμαλίας, είναι ατομικός για κάθε γυναίκα για τη δεδομένη εγκυμοσύνη.
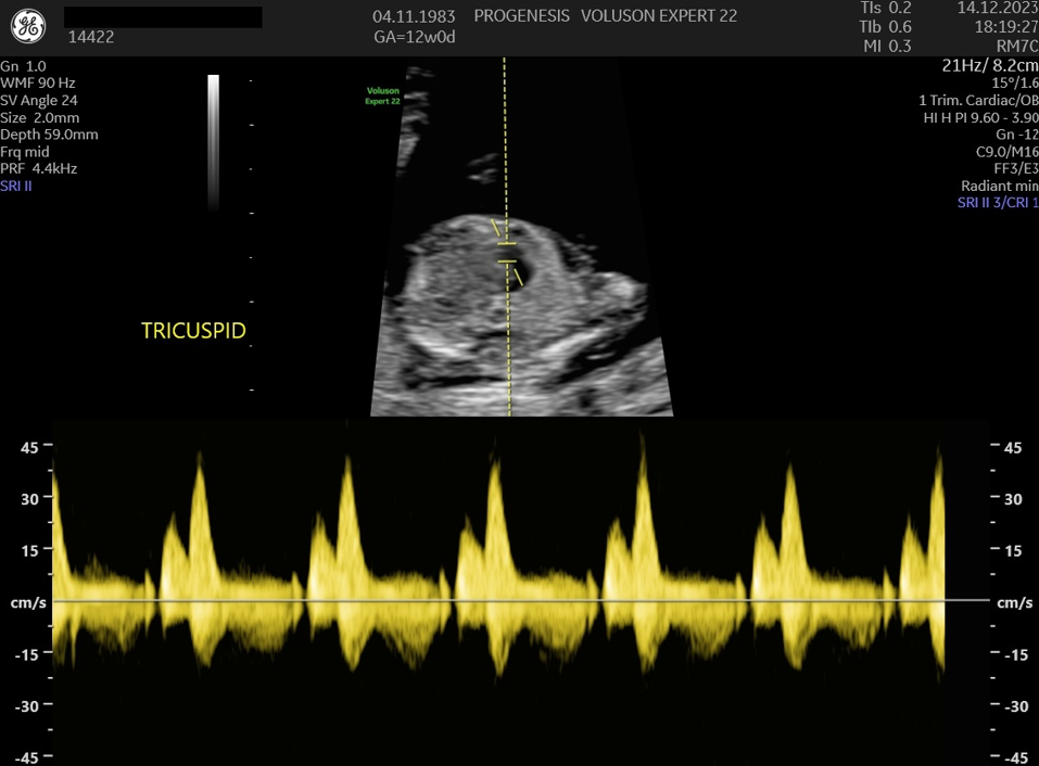
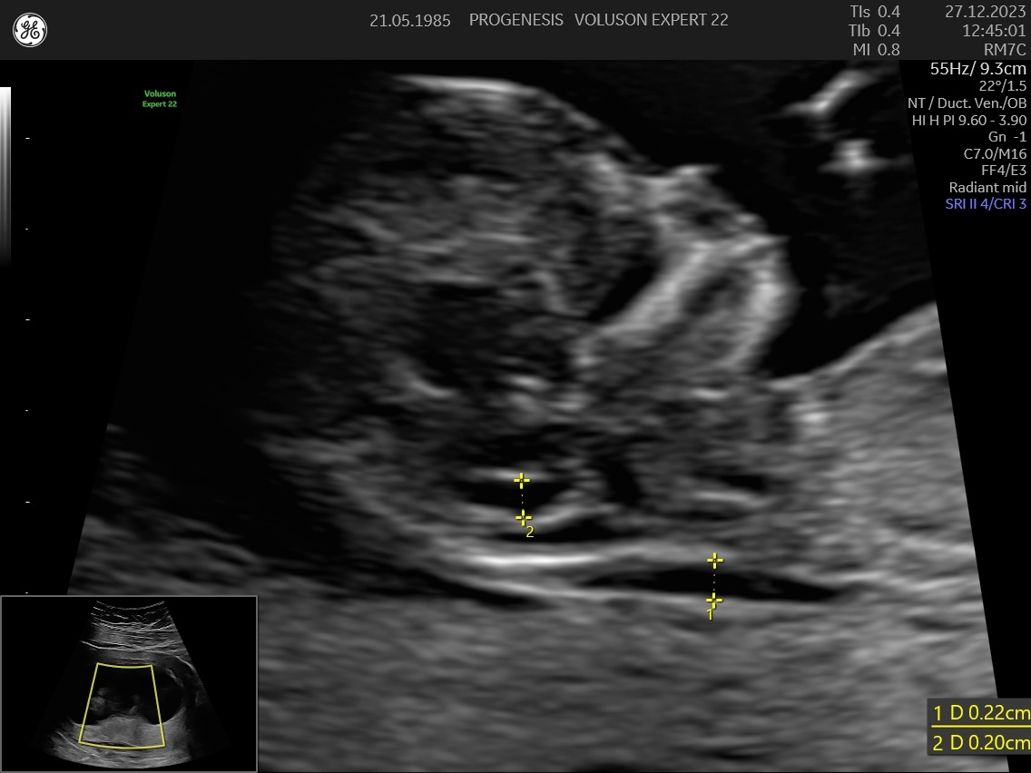
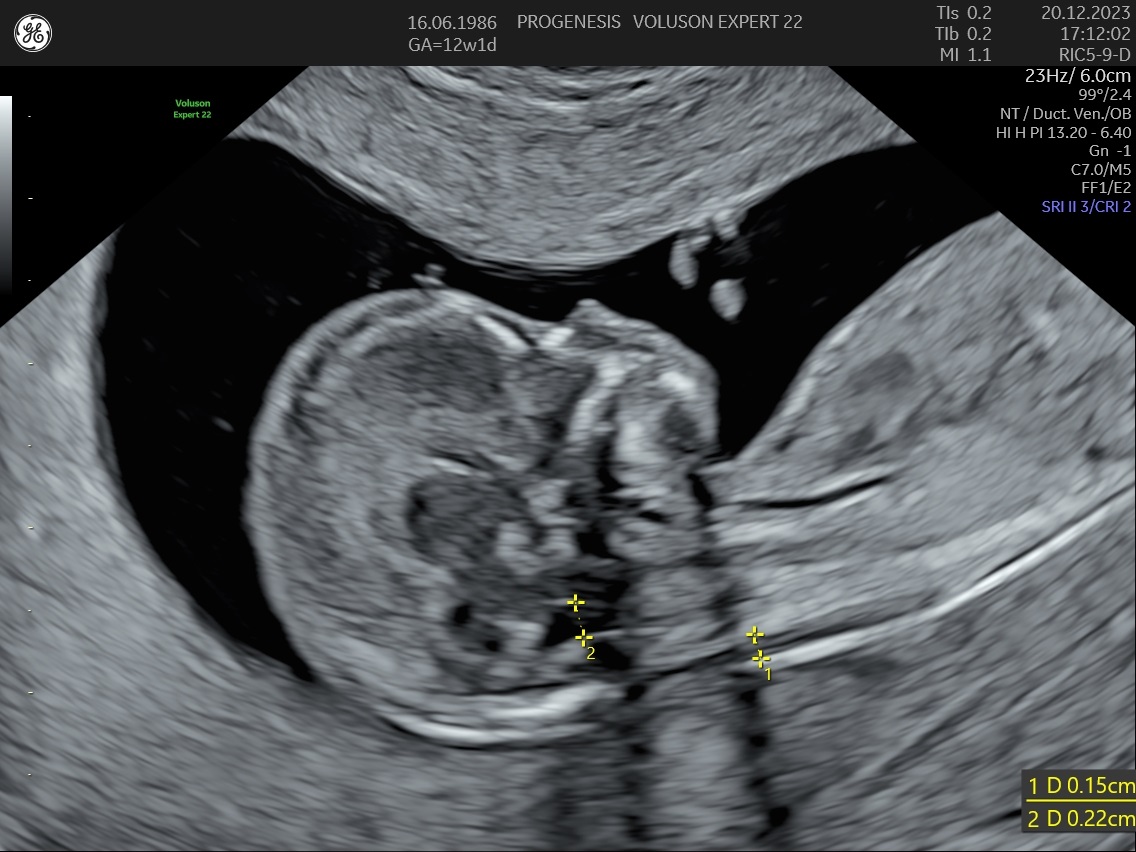
Εξαρτάται από την ηλικία της, το ιστορικό των προηγούμενων κυήσεων, την αξιολόγηση στο έμβρυο υπερηχογραφικών δεικτών όπως, της αυχενικής διαφάνειας, του ρινικού οστού, της ροής στην τριγλώχινα βαλβίδα και το φλεβώδη πόρο, ανατομικές ανωμαλίες που πιθανά να συνδέονται με χρωμοσωμικά/ γενετικά σύνδρομα καθώς και τη μέτρηση τριών ορμονών (PAPP-A, free βHCG και PLGF) στο αίμα της μητέρας.
Καθορισμός του αριθμού των εμβρύων
Πολύδυμες κύησεις είναι το 2% των φυσικών συλλήψεων και το 10% περίπου αυτών που προήλθαν από εξωσωματική γονιμοποίηση.
Πόσα έμβρυα, εάν ο πλακούντας είναι κοινός και ο αριθμός των αμνιακών σάκων, είναι πληροφορίες που θα πάρουμε και θα καθορίσουν την παρακολούθηση της κύησης.
Διάγνωση ανατομικών ανωμαλιών
Πολλές και σημαντικές ανωμαλίες, όπως ανεγκεφαλία, απουσία άκρων, ομφαλοκήλη, ορισμένες συγγενείς καρδιοπάθειες και άλλες ανωμαλίες, είναι ορατές απ' αυτό το στάδιο της κύησης. Δίνουμε ιδιαίτερη έμφαση στην αξιολόγηση της καρδιάς των εμβρύων, τόσο για την αξιολόγηση χρωμοσωμικών ανωμαλιών όσο και πρώιμη ανίχνευση συγγενών καρδιοπαθειών από το 1ο κιόλας τρίμηνο (π.χ. υποπλασία καρδιάς, συγγενή μετάθεση μεγάλων αγγείων).
Παρόλα αυτά, το αναλυτικό υπερηχογράφημα των 20-24 εβδομάδων, εξακολουθεί να είναι απαραίτητο.
Διάγνωση αποτυχίας της εγκυμοσύνης (παλίνδρομη κύηση)
Κάποιες φορές δυστυχώς και χωρίς προειδοποίηση, διαπιστώνεται διακοπή της καρδιακής λειτουργίας του εμβρύου (παλίνδρομη κύηση σε 2% των κυήσεων). Οι γονείς θα ενημερωθούν για τις πιθανές αιτίες και τη πιθανή λήψη μέτρων για την αποφυγή επανάληψης του προβλήματος.
Πρώτη εκτίμηση πιθανότητας πρόωρου τοκετού και προεκλαμψίας
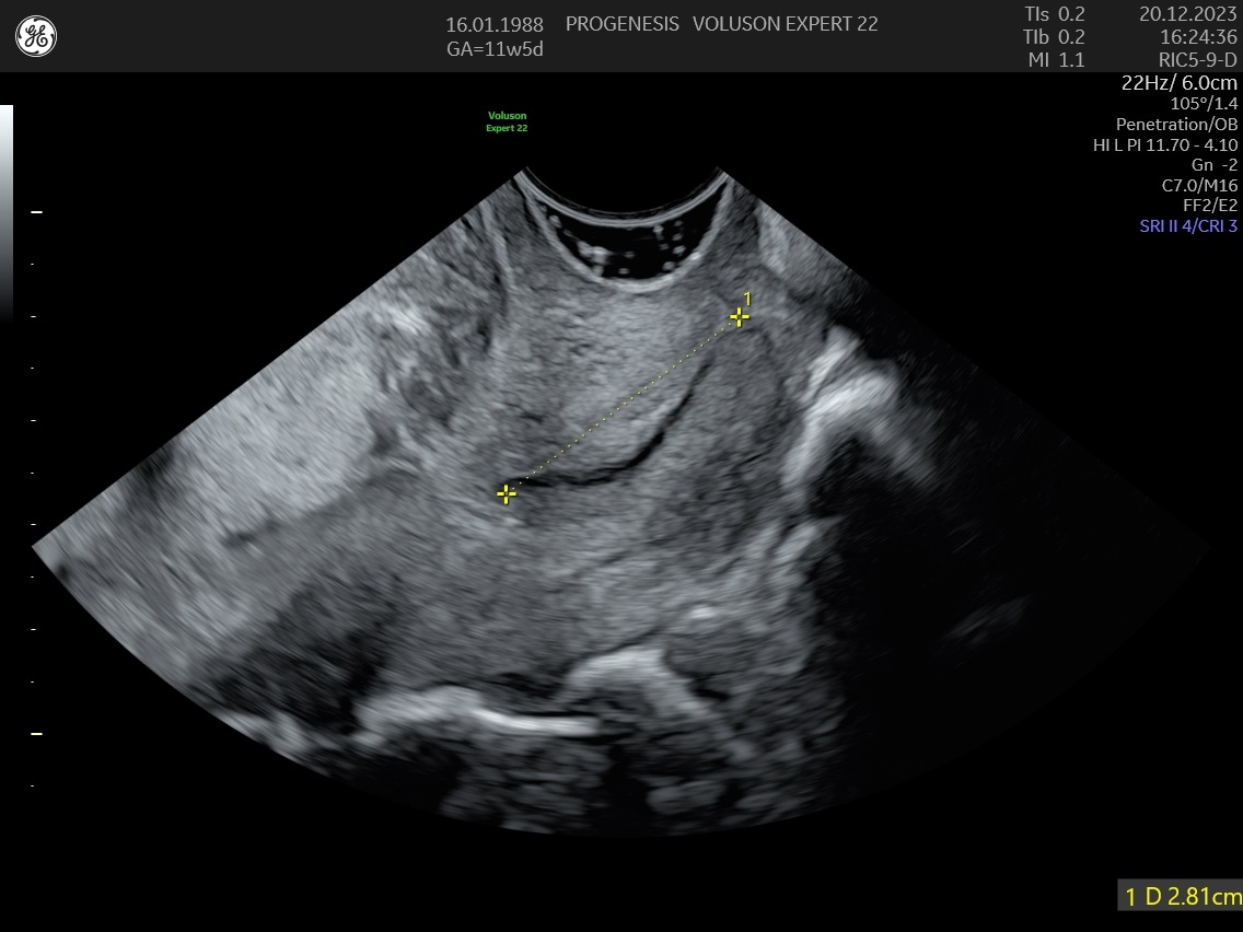
.Κατά τη διάρκεια της κύησης ο τράχηλος της μήτρας πρέπει να είναι μακρύς και κλειστός.
Μετρώντας το μήκος του, υπολογίζουμε την πιθανότητα για πρόωρο τοκετό <34 εβδομάδες. Αξιολογείται σε όλες τις εγκύους, αλλά είναι ιδιαίτερα χρήσιμο στις μητέρες με παράγοντες κινδύνου όπως ιστορικό αποβολών 2ου τριμήνου ή πρόωρου τοκετού, πολύδυμη κύηση, συγγενείς ανωμαλίες μήτρας, ιστορικό επεμβάσεων τραχήλου (κωνοειδή εκτομή, LLETZ)
Αξιολογώντας την ροή του αίματος στις μητριαίες αρτηρίες και λαμβάνοντας υπ΄όψη τους βιοχημικούς δείκτες 1ου τριμήνου (PAPPA, PLGF) αναγνωρίζουμε τις μητέρες που έχουν αυξημένη πιθανότητα να αναπτύξουν προεκλαμψία, ή/και πλακουντιακή ανεπάρκεια αργότερα στη κύηση. Στις μητέρες αυτές θα προταθεί χορήγηση ασπιρίνης 160mg προφυλακτικά κάθε βράδυ μέχρι το 3ο τρίμηνο της κύησης.



